우리가 흔히 방송에서 보듯 아무런 외부로부터 충격이 없는데도 멀쩡하던 사람이 머리를 잡고 갑자기 쓰러지게 되는 병, 바로 뇌출혈인데요 뇌출혈은 자칫 사망으로 이어질 수도 있는 아주 치명적인 병이지요. 오늘은 뇌출혈 전조증상에 대해 알아보겠습니다.

목차
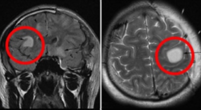
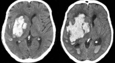
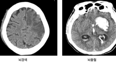
뇌출혈이란?
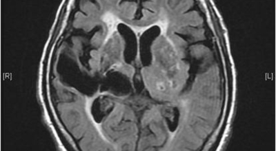
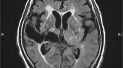
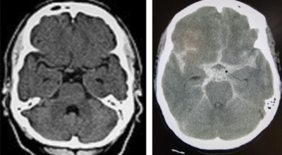
뇌출혈 전조증상을 살펴보기에 앞서 뇌출혈이란 구체적으로 무엇인지 알아보겠습니다.우리 신체의 구조상 뇌는 산소를 저장할 수 없게 되어 있어요. 그렇다면 어떻게 필요한 산소를 공급받을 수 있을까요? 우리 뇌는 산소와 영양분을 공급받기 위해 우리 몸의 구석구석을 누비는 혈관에 의존해 도움을 받습니다.
만약 이런 혈관이 파열되고, 공급되던 산소가 누출되어 뇌 조직에 도달하지 못하면 어떻게 될까요? 혈액이 고이며 뇌에 부담(압력)을 주며, 응급조치가 없이 3~4분 이상 산소가 결핍된 상태가 지속되면 뇌세포는 죽습니다. 그러면 함께 영향을 받는 신경 세포가 제어능력을 잃게 되고, 우리 몸의 기능도 함께 손상되는 것으로 보입니다.






뇌출혈 전조증상
1. 뇌출혈 전조증상 - 심한 두통
두통이 심한 증상은 뇌출혈의 전조증상으로 가장 많이 나타나는 증상 중에 하나예요. 뇌혈관 속에 혈액이 원활하게 공급되지 않아서 발생되는 현상으로 두통뿐만 아니라 어지러움까지 동반됩니다. 지금까지 경험해보지 못한 아주 극심한 두통을 느낀다면 뇌출혈 전조증상일 수 있기 때문에 빠른 검진을 받아보시기 바랍니다.






2. 뇌출혈 전조증상 - 시력저하
뇌출혈 전조증상 두번째. 시력저하 외에는 아무런 증상이 없는 사람이 우연하게 시력 때문에 병원에 방문했다가 뇌출혈 증상을 발견 하는 경우도 있습니다. 이유는 뇌출혈로 인해서 눈에서부터 시각 중추인 뇌의 후두엽으로 가는 경로가 손상되면 시력과 시야에 문제가 발생할 수가 있기 때문이예요. 갑작스럽게 시력이 저하되었다면 뇌출혈을 의심해볼 수 있습니다.
3. 뇌출혈 전조증상 - 안면 마비
뇌출혈 전조증상 세번째. 특히나 인체 한 쪽에서 발생되는 얼굴, 팔, 다리 과 같은 갑작스러운 따끔거림이 생기거나 마찬가지로 힘이 빠짐, 저림, 마비, 마비가 왔다가 풀렸다 반복되기도 해요.
4. 뇌출혈 전조증상 - 구토 증상
뇌출혈 전조증상 네번째. 머리 속의 압력을 크게 상승시켜 심한 두통을 포함하여 구토 증상을 동반하며 나타나는 경우가 많다고 합니다. 때때로 이러한 전조증상 없이 구토가 발생할 수 도 있는데요 이정도라면 심각한 상태 일 수 있기 때문에 즉시 검진이 필요합니다.






5. 뇌출혈 전조증상 - 손발 저림 증상
뇌출혈 전조증상 다섯번째. 아무렇지 않았던 손과 발에 갑작스럽게 저림이 생기거나 이러한 저림 증상이 시작된 시점과 함께 어지러움이나 두통, 입술 떨림, 언어 마비 등 이상 증상이 동반되는 경우라면 뇌출혈을 의심해 보아야 합니다. 이렇게 평상시와는 다른 증상이 나타나게 되면 즉시 병원에 꼭 방문해서 검사를 받는 것이 좋아요.






뇌출혈 치료 방법
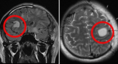
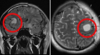
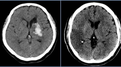
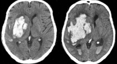
뇌출혈 전조증상을 놓쳐 뇌출혈이 발생하게 되면 발작 직후 안정을 취해야 합니다. 뇌부종을 가라앉히기 위해 약물 요법으로 고농도 포도당, 덱사메타존, 만니톨 등을 투약할 수 있고 뇌의 혈액 순환을 회복시키는 주사와 지혈제, 진정제 등을 사용할 수 있습니다. 혈종의 크기가 중등도 이상으로 마비 증세가 있으면 머리뼈에 작은 구멍을 내서 관을 넣어 혈종을 뽑아내는 수술을 시행할 수 있습니다.
혈압성 뇌출혈인 경우 혈종의 크기가 작으며 환자의 증상이 경미하면 약물 치료를 시행합니다. 혈종의 크기가 매우 크며 뇌가 심하게 부어오를 때는 응급으로 머리뼈를 절개해 혈종을 빠르게 제거해야합니다. 응급조치가 늦어지면 뇌압이 상승해 의식을 잃고 사망에 이를 수 있기 때문인데요 이렇게 증상이 심할 때는 수술이 잘 되었더라도 예후가 좋지 못할 때가 많다고 합니다.






뇌출혈 예방법
뇌출혈 전조증상이 나타나게 전에 뇌혈관 관리를 잘 하여 예방하는것이 최선이겠죠. 뇌혈관질환을 예방하기 위해 추운 새벽이나 밤에는 체온을 잘 유지할 수 있는 옷을 입고, 따듯한 낮에는 가벼운 옷으로 갈아입으면 급격한 혈관 수축을 막아 뇌혈관 질환을 예방할 수 있습니다. 환절기에는 면역력이 저하되므로 수시로 물을 마셔 수분을 보충해야 합니다. 짜고 기름진 음식을 피하는 것이 좋으며, 일주일에 3~4회 1회 30분 이상 걷기와 같은 규칙적인 운동과 금연, 절주 등으로 개인 건강 관리에 힘써야 합니다.
뇌출혈에 좋은 음식
비타민, 식이섬유를 가진 사과, 배, 블루베리, 라즈베리 등 과일과 채소가 좋아요. 고기의 경우도 지방이 적은 살코기가 좋아요. 이 외에도 깨, 꿀, 굴 등도 뇌출혈(뇌졸중)을 예방하는 데 효과적이지요.






짜게 먹게 되면 나트륨이 혈관에 흡수되고 많은 양의 수분이 함께 흡수되기 때문에 혈관이 압박을 받게 되어 좋지 않아요. 염분이 많아 짜거나 튀긴 음식은 피하고 굽거니 쪄먹는 것이 좋아요. 아무래도 콜레스테롤이 적고 여러가지 영양소를 가진 것이 좋아요. 혈당을 천천히 높여 혈관에도 부담이 적은 메밀, 옥수수, 현미가 좋아요.
뇌출혈 전조증상에 대해 전해드렸습니다. 읽으시는 분께 유익한 내용이 되었기를 바랍니다. 꼭 기억해 두시고 건강을 위해 챙겨보세요. 감사합니다.
다른 사람이 많이 본 글
'헬시하게' 카테고리의 다른 글
| 구기자 효능 건강에 좋은 이유 알고보니 (0) | 2022.09.19 |
|---|---|
| 블루베리 효능 안토시아닌 풍부! (0) | 2022.09.15 |
| 옥수수 효능 10가지 부작용 (1) | 2022.09.13 |
| 목디스크 증상 - 두통도 올 수 있어요 (0) | 2022.09.09 |
| 류마티스 관절염 초기증상 - 전신피로, 붓기 (0) | 2022.09.09 |