뇌조직은 평소에도 다량의 혈류를 공급받고 있는데 어떤 여러가지 원인으로 인해서 뇌혈관에 이루는 관이 막히는 경우 뇌에 공급되는 혈액량이 떨어지면서 뇌조직이 기능을 제대로 하지 못하게 되는데 이렇게 뇌혈류 감소가 일정 시간 이상 지속되다 보면 뇌조직의 괴사가 시작되어 회복 불가능한 상태가 되는데 이를 뇌경색이라 해요. 오늘 알아볼 질병은 뇌경색 초기증상이예요.

목차
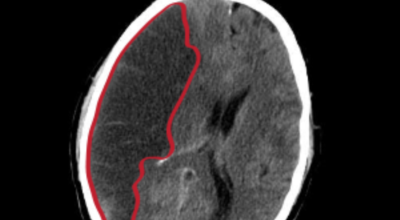
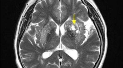
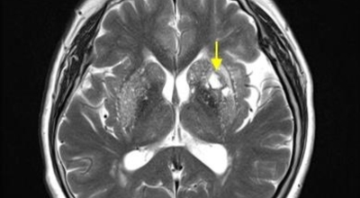
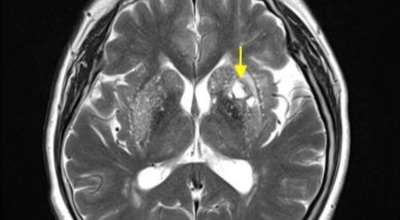
뇌경색이란?
뇌경색의 경색이란 허혈성 괴사를 말해요. 여기서 허혈이란 혈관이 막히는 것을 말하고 괴사는 말 그대로 일부가 죽는 것을 말하는데 뇌경색의 경우 뇌의 혈관이 막혀 뇌세포 일부가 죽는 걸 의미해요. 뇌혈관이 막혔다 해서 혈액 공급이 안되는것은 또 아니에요.
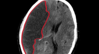
막힌 혈관으로도 혈액이 공급되긴 하나 혈관이 막혀있어 혈액을 보내긴 하나 제대로 흐르지 못하고 혈액이 쌓이고 축적되어 물풍선에 물이 꽉 차서 터지듯 뇌혈관이 터지는 경우가 일어날 수 있는데 이를 뇌출혈 이라고 해요. 물론 외상으로 인한 뇌출혈도 있지만 이처럼 뇌경색으로 인해 혈관이 막혀 터지는 경우도 있어요.
뇌경색의 원인
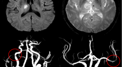
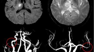
뇌경색의 가장 흔한 원인은 고혈압, 당뇨, 고지혈증 등으로 인해 뇌에 혈액을 공급하는 혈관에 뇌혈류가 차단되는 경우와 그 밖에심장 부정맥, 심근경색의 후유증 등으로 인해서 심장에 혈액이 응고된 상태가 되고 이 혈전이 혈류를 따라 이동하다가 뇌혈관을 막아 뇌졸중이 나타나는 경우도 있어요.






뇌경색 초기증상
1.뇌경색 초기증상 - 피로감
뇌경색 초기증상의 가장 유명한 것은 피로감인데요 특별한 질환이나 증상이 없다가 갑작스럽게 피로감이 느껴진다면 뇌경색을 의심해보아야 해요. 뇌경색이 발생하면 콜레스테롤과 노폐물이 혈관을 막고, 뇌에 공급되어야 하는 피와 영양분이 제대로 공급되지 않아서 항상 피곤하고 피로한 증상이 일어날 수 있습니다.
2. 뇌경색 초기증상 - 편마비
편마비란 왼쪽 및 오른쪽만 마비가 오는 증상을 말해요. 뇌경색 초기증상으로 흔하게 편마비 증상이 주로 나타나며 왼쪽 팔과 왼쪽 다리에 및 오른쪽 팔과 오른쪽 다리에만 저림 증상과 약간의 마비 증상이 나타날 수 있어요.
증상이 빠르게 호전되는 경우도 있기는 하나 편마비 증상이 길게 이어지는 경우도 있어요. 해당 증상이 몸에 짧게 나타났든 길게 나타났든 편마비 증상이 자주 몸에 나타난다면 바로 병원에 방문하시어 해당 증상을 충분히 설명드린 후에 그에 맞는 검사를 받아보시는 것이 좋습니다.






3. 뇌경색 초기증상 - 두통
뇌경색 초기증상으로 인해 원인을 알 수 없는 두통이 생기거나 갑자기 머리가 엄청 깨질것 처럼 심한 통증이 일어날 수 있습니다. 뇌경색의 경우에는 현기증과 속이 메스꺼워 구토감이 생기며, 뒷목에서부터 머리까지 당기는 두통이 발생할 수 있다고 해요.
4. 뇌경색 초기증상 - 언어장애
뇌경색의 가장 유명한 초기 증상이라 할 수 있어요. 사람이 말을 하고자 할 때는 대장, 위장, 심장에서 언어가 나오는 것이 아닌 뇌에서 나오기에 뇌에 경색이 일어난 경우 부정확한 발음으로 말하게 되거나 말이 굉장히 어눌해질 수 있어요. 처음에는 단순히 말이 부정확한 발음 정도일 수 있으나 뇌혈관이 막히면 막힐수록 말은 점점 더 어눌해지고 심해질 경우 대화가 어려워지는 상황으로 치닫게 돼요.






5. 뇌경색 초기증상 - 복시
뇌경색으로 인해 발생하는 시력장애는 단순히 눈이 나빠지는 것이 아닌 한쪽 눈이 안 관찰되는 증상으로 나타날 수 있어요. 이는 막힌 혈관이 부풀어 오르며 다른 혈관을 짓누르며 발생되는 증상으로 뇌경색으로 인해 흔하게 발생하는 증상 중 한가지라 할 수 있어요. 물론 한쪽 눈만 안 관찰되는 증상뿐만 아니라 다른 형태로도 나타날 수 있어요. 잘 보이던 물체나 글씨가 갑작스럽게 잘 보이지 않는 증상으로도 나타날 수 있어요.
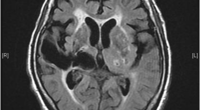
뇌경색 후유증
뇌경색 후유증은 제대로 걷지 못하며, 말을 잘 못하던가, 나의 의지와는 다르게 나타나는 문제점들이 일어날 있습니다. 뇌경색이 오면 후유증이 남는 것이 기본이며 일주일 안으로 나타나게 된다고 해요. 이 기간이 지나도 예후가 없다면 서서히 회복이 되는 과정에 있다고 생각하시면 돼요.






뇌경색 후유증은 3개월에서 6개월 사이에 서서히 회복 될 수 있습니다. 치료가 늦어져서 뇌경색 후유증이 심각하게 자리잡게 된다면 일상생활이 어려울 정도로 인체에 이상이 있는 상태가 유지될 수 있습니다.
뇌경색 치료방법
뇌경색 초기증상이 나타나면 가장 중요한 것은 빠른 인지와 빠른 치료예요. 뇌세포는 뇌혈관이 막히는 순간부터 빠르게 손상이 진행이 되고 재생은 어렵기 때문입니다. 뇌와 연관된 질병은 골든타임을 놓치지 않는 것이 제일 중요해요.






큰 뇌혈관이 막힌 경우라면 발생한지 4시간 반 안에 정맥 내로 혈전 용해제를 투여해 막힌 혈관을 뚫어주게 되고 6시간 이내라면 직접 동맥 내 시술을 통해 혈관을 막은 혈전을 직접 제거하는 혈전제거술을 시행하게 되는데요.
뇌경색 예방법
뇌졸중의 증상은 갑자기 발생하지만 뇌경색을 일으키는 혈관질환은 오랜 기간에 걸쳐 서서히 손상되는 질병으로 혈관의 노화현상과 더불어 고혈압, 고지혈증, 심장 부정맥, 당뇨병, 흡연, 음주와 같은 여러 가지 요인에 의해 뇌경색의 발생 위험이 크게 증가합니다.
그렇기 때문에 이러한 만성 질환들과 흡연, 음주와 같은 생활 습관을 완화하고 적절한 운동, 식이 요법 또는 해당 질환에 대한 약물치료를 통해 뇌경색의 위험성을 크게 감소시켜줄 수 있으며 뇌경색의 가장 중요한 원인이 되는 심장질환 같은 경우에는 정기적인 검진을 통해 뇌경색을 미리 예방하시는 것이 좋습니다.






뇌경색 초기증상과 뇌경색 치료방법 대해 알아봤어요. 읽으시는 분께 유익한 내용이 되었기를 바랍니다. 꼭 기억해 두시고 건강을 위해 챙겨보세요. 감사합니다.
다른 사람이 많이 본 글

'헬시하게' 카테고리의 다른 글
| 목디스크 증상 - 두통도 올 수 있어요 (0) | 2022.09.09 |
|---|---|
| 류마티스 관절염 초기증상 - 전신피로, 붓기 (0) | 2022.09.09 |
| 유방암 초기증상 여성이라면 꼭 체크 (0) | 2022.09.07 |
| 역류성 식도염 증상 & 역류성식도염에 좋은 음식 (0) | 2022.09.07 |
| 갑상선 기능 저하증 나타나는 증상, 치료법 (0) | 2022.09.06 |