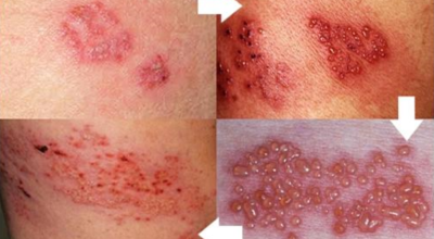
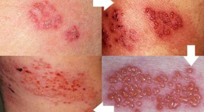
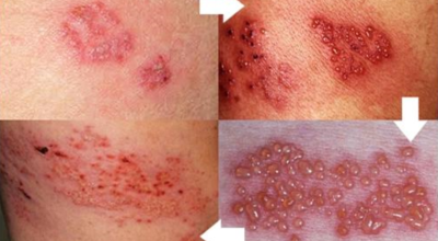
대상 포진의 가장 흔한 증상은 인체의 한 부분 이상에 붉고 융기된 물집 형태의 패치로 생기는 고통스러운 피부 발진이지요. 발진은 대체적으로 몸통에 나타나고 인체의 다른 부위로 퍼져요. 발진은 대체적으로 치유되기까지 약 2-3주 동안 지속돼요. 날이 추워지며 예방접종을 하려는 분들이 증가하고 있는데요, 추운 날씨엔 면역력이 감소하며 대상포진에 노출되기 쉽습니다. 오늘은 대상포진 예방접종 종류는 무엇이 있는지, 대상포진 예방접종 가격 확인하는 법도 알려드리겠습니다.






대상포진이란?
수두라는 피부질환은 아마 대부분 아시리라 생각돼요. 어릴 때에 자주 걸리곤 합니다. 이 수두 바이러스는 치료를 받더라도 오랫동안동안 몸에 잠복해있게 됩니다. 이 오래 묵은 수두 바이러스가 신체의 면역력이 감소하는 시기인 갱년기 즈음에 재 활성화되어 대상포진을 발생시킨다고 합니다.
피부에 발진과 수포가 띠를 두른 모양이 통증과 함께 발생하는 특징이 있어요. 대상포진은 5~60대 이상의 노년층에서 많이 발병해 노인성 질환으로 인식돼 왔지만, 최근에는 스트레스가 많은 20~30대까지 젊은 층까지 확산되고 있어요. 그렇기 때문에 더 이상 노인성 질환으로 부르기 어려운 질환이 되어 가는 것 같아요.






대상포진 증상
대상포진의 가장 가장 유명한 증상은 피부발진이지요. 대상포진은 수두처럼 몸을 덮고 있는 피부 어느 부위든 발생할 수 있으며 얼굴이나 눈 주변에 발생하기도 합니다. 대상포진을 앓는 환자분들 중 96%에 달하는 분들이 통증을 호소하고, 그 중에서 42%는 극심한 통증을 호소한다고 합니다. 그만큼 통증이 심한 피부질환입니다. 어떤 질환이든 마찬가지로 초기에 진단하는 것이 아주 중요하며 표면적으로 드러나는 경우 쉽게 진단되는 편이예요.
보통 등으로부터 시작해 옆구리나 복부 가슴등에 발병합니다. 대부분의 경우 증상은 피부에 국한되어 나타나지만, 면역력이 크게 떨어져있는 환자의 경우 전신에 퍼져서 사망에 이르는 경우도 있어요. 발진 후에는 공통적으로 물집이 생기고 고름이 나게 돼요. 또한 이렇게 생긴 물집과 고름은 딱딱하게 굳어 딱지를 형성합니다.






대상포진 예방접종 종류
대상포진 주사 종류는 생백신과 사백신 2가지로 볼 수 있어요. 생백신이라 하는 것은 아직 살아있는 바이러스나 세균의 독성을 제거한 백신을 뜻합니다. 독성은 사라졌지만 병원균이 살아있으므로 면연력이 이를 극복하지 못할 정도로 떨어져 있는 상태에서 접종 시 균에 감염될 수 있어 주의가 필요한 백신이라고 합니다.
대상포진 생백신은 조스타박스주와 스카이조스터주 2가지가 있으며 현재 한국에서 맞을 수 있는 대상포진 백신이 이에 속한다고 생각하시면 됩니다. 사백신이라 하는 것은 바이러스나 세균을 배양했으나 열처리 혹은 약품처리로 병원균을 비활성화시킨 백신이지요. 병원균이 사라졌기 때문에 면연력이 약한 상태에서도 상대적으로 안전하게 접종 받을 수 있지만 그 효과가 생백신에 비해 감소하는 단점이 있어요.






이로 인해 생백신에 비해 여러차례 접종이 필요한 백신이지요. 대상포진 사백신은 싱그릭스가 있고 국내에도 도입될 예정이라고 합니다. 대상포진 예방접종은 50세 이상에게만 허가하고 있으며 국가가 권장하는 나이는 60세 이상이라고 합니다. 그리고 예방 효과가 평생 지속되는 것은 아니며 100% 예방 효과가 있는 것도 아니라고 합니다. 하지만 맞는 것과 안 맞는 것의 차이가 아주 크다고 합니다.
대상포진 예방접종 가격
대상 포진 예방 접종 저렴한 곳을 확인하는 방법이 있어요. 의료기관의 조사에 의하면 2021년 4월 기준 대상포진 예방접종 가격 평균은 142,383원 이지요. 대상포진 예방접종 가격은 수입산인 조스타박스는 10만원대 중반, 국내산인 스카이조스터는 10만원대 초반이지요. 이는 가장 적은 금액을 말씀드린 것이며 병원마다 조금씩 차이가 있을 수 있어요.






국내산이 수입산보다 저렴한 편이지만 효과는 크게 다르지 않다고 하니 국내산으로 맞아도 무방합니다. 대상포진 예방접종 가격을 확인하는 방법은 건강보험심사평가원에 가시면 비급여진료비정보 조회가 가능합니다. 아래에서 대상포진 검색 > 의료기관 구분 > 지역 선택 후 검색하면 병원별 대상포진 예방접종 가격 을 미리 확인할 수 있어요.
대상포진 예방접종 가격 확인하는법
지역 선택 > 비급여진료비정보 > 예방접종료 선택 > 상세분야 대상포진 선택 하시면 돼요.



위는 동작구 로 선택하여 나온 검색 결과이지요. 12만원 에서 19만원까지 다양합니다. 19만원에 맞으면 억울할 것 같아요. 그렇기 때문에 집 주변의 병원의 가격을 미리 확인해보고 가시는 것이 좋아요.






대상포진 예방접종을 맞아서는 안 되는 사람
젤라틴, 네오마이신 항생제 및 백신 안에 포함되어 있는 성분에 중증의 과민반응을 보였던 사람은 대상포진 예방접종을 맞아서는 안돼요. 그리고 선천적 및 후천적 면역결핍 상태, 면역억제요법 혹은 방사선이나 항암치료 중인 경우나 활동성 결핵 환자가 치료받지 않는 경우는 예방접종의 금기이지요.
대상포진 예방접종 가격에 관하여 알려드렸어요. 읽는 분께 큰 도움이 되셨기를 바래요. 다른 유익한 정보도 더 살펴보고 가세요.
다른 사람이 많이 본 글
콤부차 효능 요즘 인기 있는 이유
요즘 티비에서 콤부차 광고 나오는거 많이 보셨을텐데, 마트에 가도 예전보다 콤부차가 많이 판매되고 있어요. 헐리웃 스타들이 즐겨마시는 건강 음료로도 유명한데요, 오늘은 콤부차 효능과
goodl.alluringbacked.com
맥주효모의 효능 탈모에 좋은 거 외에는?
맥주효모란 진균류에 속하는 미생물로서 발효균이라고도 하고 곰팡이라고도 하는데,.맥주효모에는 여러가지 영양성분이 풍부해서 건강에 이로운것으로 알려졌어요. 이번 글에서는 맥주효모의
goodl.alluringbacked.com
'헬시하게' 카테고리의 다른 글
| 양파즙 효능 - 혈관을 탱탱하게! (0) | 2022.11.23 |
|---|---|
| 오디 효능 10가지와 부작용 (0) | 2022.11.21 |
| 맥주효모의 효능 탈모에 좋은 거 외에는? (0) | 2022.11.14 |
| 과민성 대장증후군 증상 종류, 치료법 (0) | 2022.11.13 |
| 보이차 효능 - 이거 알면 당장 마시게 됨 (0) | 2022.11.13 |