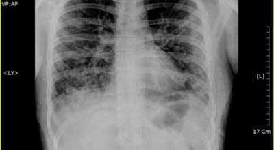
폐렴은 생각보다 무서운 병이지요. 펴렴 초기 증상 폐렴을 진단받고 현대의약으로 치료가 가능하나 폐렴 초기 증상을 방치한다면 심각한 질병으로 심각한 상황으로 갈 수 있으므로 폐렴 초기증상이 있으면 병원에서 제대로 된 검사를 받는 것이 중요해요. 오늘은 폐렴 증상에 관하여 알려드려요.

목차
폐렴 원인
폐렴은 폐의 감염으로 인해 발생해요. 대부분의 감염은 박테리아나 바이러스에 의해 발생하지만 종종 원인을 찾을 수 없어요. 감기나 독감에 의해 유발될 수 있고, 이로 인해 세균이 폐에 접근할 수 있어요. 세균성 폐렴은 폐렴구균 박테리아에 의해 발생할 수 있어요. 이것은 가장 심각하고 잠재적으로 생명을 위협하는 유형의 폐렴 중 한가지이예요.
폐렴을 유발하는 다른 유형의 박테리아는 헤모필루스 인플루엔자와 모락셀라 카타랄리스 이지요. 바이러스성 폐렴은 여러가지 바이러스에 의해 발생해요. 가장 흔한 것은 인플루엔자 바이러스, 인간 아데노바이러스 또는 호흡기 세포융합 바이러스이지요.
폐렴 초기증상
1. 기침이 멈추지 않는다
2. 발열이 나타난다
3. 가래가 증가한다
4. 호흡하기 어렵다
5. 가슴이 아프다
6. 피곤하다
7. 두통이 있다
8. 설사를 한다






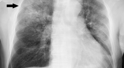
폐렴 증상
폐렴 증상 1. 가슴 통증
폐렴 증상으로 가슴에 통증이 생긴다고 해요. 폐렴의 환자들 약 90%이상은 가슴통증을 느낀다고 하지만, 숨을 쉬거나 기침을 하다 보면 가슴통증이 생긴다고 해요. 증상은 사람마다 다르다고 하는데 누구는 폐를 뾰족한 걸로 찌르는 느낌을 받는 느낌을 받는다고 하고 혹은 누군가가 폐를 잡는듯한 고통을 느낀다고 해요. 이런 폐렴 증상이 나타나게 되면 검사를 받아보시길 바래요.
폐렴 증상 2. 천명음
폐렴으로 인해 기관지 협착이나 점액 증가하면서 기도가 좁아짐으로 인해 기도 저항이 세지면서 리듬성이 높고 휘파람 소리 같은 숨소리가 나옵니다. 천명음 같은 숨소리가 들린다면 폐렴 증상을 의심해 볼 수 있어요.
폐렴 증상 3. 기침과 가래
폐렴은 초기 증상으로는 기침과 가래가 있어요. 일반적인 감기도 기침과 가래를 동반하긴 하지만 그보다 더 심한 편이며 기침을 할때 통증이 동반되는 케이스가 대부분이고 묽은색의 끈적거리는 가래가 많이 발생되는 폐렴 증상이 나타납니다.



폐렴 증상 4. 발열과 오한
얼굴에 열감을 느끼고 몸 전체의 온도가 올라가는 증상이 나타날 수 있어요. 발열과 오한의 경우 땔 수 없는 관계인데 폐렴으로 인해 열이 오르면 신체는 온도를 낮추기 위해 땀을 분비하고 신체의 호르몬을 조절하게 되는데요.
발열이 있은 뒤에는 언제나 오한을 경험하게 되는데요 발열과 오한을 경험하는 사람들은 가벼운 몸살로 오인해서 병원을 찾기도 해요. 치료에도 불구하고 호전되는 기색이 없다면 폐렴 증상이 아닌지 의심하시고 정밀한 검진을 받으시어 정확한 진단을 받는 편이 좋아요.
폐렴 증상 5. 호흡 곤란
초기에 가벼운 기침으로 시작해 호흡하는 것조차 힘들어지게 되는데요 폐에 발생한 염증으로 인해서 폐의 신전성이 감소하고, 폐를 구성하는 폐포 세포가 망가져 적정 수준의 산소를 보관하지 못하기 때문에 호흡곤란이 유발될 수 있어요.






폐렴과 독감과 감기의 차이
기침, 발열, 오한등으로 초기증상은 모두 비슷하지만 차이점이 있으므로 이 점을 잘 체크하셔야 합니다
감기 : 2~3일간 미열 콧물, 코막힘. 인후통
독감 : 갑작스러운 증상 악화 39도 이상의 고열 발생
폐렴 : 누런 가래, 호흡곤란, 흉통 독감보다 증상이 오래 발생
폐렴 증상 치료 방법
미생물이 원인이 된 폐렴의 경우, 원인균에 따른 치료를 하고 항생제를 이용하여 치료해요. 일반적으론 지역사회에서 발생한 폐렴의 경우, 세균성 폐렴으로 가정해서 경험적인 항생제 치료를 하며 원인 미생물이 밝혀지게 되면 그에 적합한 항생제로 변경을 하기도 해요.
독감등의 바이러스성의 폐렴은 증상의 발생 초기엔 항바이러스제의 효과가 있지만 시일이 경과한 경우엔 항바이러스제의 효과가 뚜렷하지가 않아요. 증세가 가벼우며 통원이 가능한 경우엔 꼭 입원하여 치료할 필요는 없지만 면역력이 감소하는 소아나 노인 환자들 그리고 중증의 질환을 앓고 있는 환자들의 경우엔 입원 치료가 권장이 돼요.






폐렴 예방접종
폐렴구균 예방접종을 통해 폐렴 증상을 예방할 수 있어요. 연세가 많은 분들의 경우 백내장, 알츠하이머 다음으로 입원 질환 3위에 이를 정도로 치명적인 질환이기 때문인데요 꼭 폐렴구균 백신을 맞는것이 좋을 것 같습니다. 폐렴구균 백신은 13가와 23가로 나누어 지는데 23가가 숫자가 커서 좋아보아지만 13가가 폐렴 증상 예방하는데 더 좋은 백신이지요. 그래서 13가 백신은 약 15만원 정도의 비용이 발생하며 국가에서 접종해주는 무료 폐렴 예방접종은 23가이지요.
▶ 백신 종류 : 단백결합 백신
▶ 접종 가격 : 10 ~ 15만원
▶ 접종 대상
1) 19세 미만 소아청소년
2) 생후 2개월~59개월 모든 소아
3) 5세 미만에 접종을 받지 않은 5세 이상의 고위험군
4) 60~71개월의 만성질환 또는 면역저하 상태의 소아
5) 면역저하, 무비증, 뇌척수액 누출, 인공와우 이식 상태에 있는 6~18세 소아청소년
6) 19세 이상 성인
7) 면역저하상태, 무비증, 뇌척수액 누출, 인공와우 이식
▶ 백신종류 : 다당 백신
▶ 접종 가격 : 4 ~ 5만원
▶ 접종 대상
1) 2세 이상 고위험군인 소아청소년과 성인
2) 65세 이상 노인






폐렴 증상 예방법
1. 손을 30초 이상 씻는 편이 좋아요.
2. 충분한 휴식과 수분을 섭취해요.3. 65세 이상 노인분, 만성질환자는 폐렴 예방접종을 맞는게 좋습니다.
3. 과로나 과음, 흡연은 피해주세요.
4. 규칙적인 운동을 해서 체력을 유지해요.
5. 사람이 많이 모이는 곳은 피하는 편이 좋아요.
6. 실내온도(20~22도.와 습도(40~60%.를 유지해요.
7. 양치, 가글 등 구강 위생에 신경 써주어야 해요.
폐렴 증상에 관하여 알아봤어요. 항상 건강하고 행복하시기를 기원해요. 방문해주신 모든 분께 감사해요.
이 블로그 인기글
'헬시하게' 카테고리의 다른 글
| 양배추 효능 및 부작용 주의사항 (0) | 2022.11.12 |
|---|---|
| 꿀의 효능 어디에 좋은지 정리 (0) | 2022.11.12 |
| 여주 효능 11가지 (0) | 2022.10.05 |
| 시서스 효능 다이어트에 좋은 이유 (0) | 2022.09.26 |
| 소변에 거품이 나는 이유 & 소변 거품 설마 이거? (0) | 2022.09.22 |