아래에서는 결핵 증상에 대해 자세히 살펴보려고 합니다. 일반적으로 결핵은 대한민국에서 잘 걸리지 않으나 합병증으로 걸릴수 있습니다. 도움되는 정보가 많으니 자세히 살펴보시기 바라겠습니다.
결핵
결핵은 결핵균이 침입해서 나타나는 병입니다. 결핵은 호흡기 분비물로 옮겨지는 전염성 질환으로, 환자와 접촉하는 가족 중에서 나타나는 경우가 많다고 해요. 누구든지 결핵에 걸릴 위험이 있으나 결핵균이 침입한다고 하여 모두 다 발병하는 것은 아니에요.
결핵균이 침입한 후 몸 내부의 저항력이 약해지면 발병할 확률이 높아집니다. 결핵은 폐, 신장, 신경, 뼈 등 우리 몸속 거의 대부분의 조직이나 장기에서 병을 나타나게 할 수 있습니다. 그중에서도 결핵균이 폐 조직에 감염을 유발하는 ‘폐결핵’이 대부분을 차지해요. 이로 인해서 보통은 ‘결핵’이라고 부르는 말은 ‘폐결핵’을 지칭하는 말로 활용되기도 해요.
결핵 증상
결핵 증상 - 무력감, 피곤함, 체중감소
결핵 증상이 생기면 가장 가장 먼저 나타나느 증상이 쉽게 피로를 느낌과 더불어 기운이 없는 증상을 동반하는데 이 때 더불어 식욕이 적어지는 증상이 나타나면서 체중이 감소해요.






결핵 증상 - 전신증상
일반 감기 및 몸살과 다르게 39℃, 40℃에 이르는 고열은 잘 나타나지 않지만 오후가 되면서 약간 몸이 좋지 않다 싶은 정도의 미열이 발생했다가 식은땀이 나면서 열이 줄어드는 증상이 반복하게 돼요. 전형적인 결핵 환자는 잠을 잘 때 베개가 젖듯이 식은땀을 많이 흘리기도 해요. 무력감이나 신경과민, 집중력 소실, 소화불량, 식욕부진, 체중감소 등이 있습니다. 결핵균이 아주 천천히 증식하면서 우리의 신체의 영양을 소모시키고 조직과 장기를 파괴하므로 환자의 상당수는 기운이 없고 입맛이 없어져 체중이 줄어들게 됩니다.
결핵 증상 - 두통,어지러움
결핵의 발병 부위가 척추나 신경 등에 이 르는 경우 두통과 현기증,허리의 통증이 발생할수 있답니다.
결핵 증상 - 호흡기증상
기침이나 가래가 나타날 수 있습니다. 초기에는 가래가 없는 마른기침을 하다가 점차 진행하면서 가래가 섞인 기침이 나오게 되어요. 2주 이상 유지되는 기침은 반드시 결핵 여부를 의심하는 편이 좋아요. 가래에 피가 섞여 나오는 정도로 약하게 및 심한 각혈로 발생하기도 하며 이러한 증상은 초기보다는 대체로 병이 진행된 경우에 나타나게 됩니다.






결핵 증상 - 발열,오한
새벽이나 밤늦은 시간 식은땀이 흐르거나 이유없이 미열 및 고열 상태를 반복하 여 나타날수 있고 시간이 흐를수록 심 해지고 하루 종일 식은땀과 발열이 이어 지며 이유없이 신체에 찬 기운이 느껴지는 경우도 있습니다.
결핵 증상 - 2주 이상 유지되는 호흡기 증상 또는 전신 증상
결핵이 폐에 걸리면 폐결핵으로 불리며, 호흡기 질환이 현저히 나타나게됩니다. 주로 심한 기침, 가래, 피가 섞인 가래가 보이며 발열과 흉통, 호흡곤란을 동반해요. 그런데 이 결핵균이 폐에만 머물러 있지 않고, 몸의 곳장소로 퍼져 감염을 나타나게 할 수 있답니다. 결핵균이 뇌로 들어가면 뇌수막염을 일으켜 뇌신경 마비가 올 수 있다고 하며, 척추에 감염되면 결핵성 척추염에 걸려 척추가 녹아내릴 수 있고 신장에 감염되면 혈뇨와 방광염, 요로결석을 일으킬 수 있답니다.
결핵 증상 - 혈뇨,방광염
결핵이 신장 부위에 발생한 경우 소변이 붉게 나오거나 소변을 볼때 통증과 아랫 배 압통 등 소변이 시원하게 나오지 않아 계속 마려운 느낌이 나타날수 있습니다.
결핵 증상 - 가슴통증
흉막이나 심막을 침범하였을 때는 흉통을 호소하기도 해요.






결핵의 검사방법
호흡기 증상과 전신 증상이 2주 이상 보존되면 결핵을 의심하고 진단검사를 실시해요. 보통과 다르게 결핵에 감염될 수 있는 위험인자가 있는 환자라면 훨씬 강하게 의심받을 수 있어요. 먼저 결핵균의 감염여부를 조사하기 위하여는 결핵피부검사(IGRA)나 인터페론감마방출검사(IGRA)를 할 수 있다고 하며, 활성을 확인하기 위해 흉부X-ray를 할 수 있으며, 결핵균을 검사하기 위해 가래비말검사와 배양검사를 할 수 있답니다.
초기 검사 결과가 결핵 진단에 미흡한 경우 환자에 따라 흉부 컴퓨터단층촬영(CT)과 기관지 내시경 검사를 시행할 수도 있어요. 요즘 들어서 빠르고 정확한 핵산증폭(PCR) 검사를 통한 결핵균 검사가 도입되고 있다고 하며, 결핵 진단 후에는 결핵균 배양에 효과가 좋은 약물이 무엇인지를 판단하는 약물 민감도 검사와 검출된 세균의 존재 여부를 확인하는 세균 판별 검사를 실시하고 있답니다.
결핵균 검사
결핵균의 검출은 결핵을 진단하는 가장 명확한 방법입니다. 전통적으로 항산 도말 또는 배양 검사가 활용되어 왔으며, 정확도를 높이기 위하여는 가래를 최소 3회 이상 뿌려야 해요. 요즘 들어서 핵산증폭(PCR) 검사를 통해 가래 속 결핵균에 존재하는 DNA를 검출해서 결핵을 진단하는 방법을 개발하여 활용되고 있어요. 스미어 테스트는 슬라이드에 얇은 가래를 바르고 결핵균만 선별적으로 착색해 현미경으로 관찰하는 방식입니다. 보통은 결핵균은 세균검사에 활용되는 그람액에 물들지 않고 강산에 의해 표백되지 않는다는 의미에서 '산패스트균'으로 불리며, 결핵 외에도 항산화 역할을 나타낼 수 있는 세균이 있어 주의가 필요한 경우도 있답니다.
더 빨리 읽을 수 있는 전통적인 지엘-닐슨 방법과 형광 염색 방법이 있어요. 배양검사는 가래 뿐만 아니라 뇌척수액, 흉수, 종기, 조직 등에서 채취한 시료로도 할 수 있답니다. 하지만 긍정적인 문화는 3-4주에 가장 흔해요. 배양검사에서 세균이 성장함에 따라 항산염색을 통해 결핵균을 검사하고, 최근 들어 핵산증폭검사 등 분자생물학적 방법이 결핵균을 확인하는 데 널리 활용되고 있답니다. 마지막으로 분화된 결핵균에 대한 약물 민감도 검사가 수행되어요.






핵산 증폭(PCR) 검사를 활용해서 결핵균 검사
핵산증폭검사는 앞서 설명한 결핵검사의 한 가지로, 기존 결핵검사보다 높은 민감도, 특이도, 재현성 검사 등으로 결핵이 의심되는 경우 유용하고, 현재 국내에서 요구되고 있어요. 폐결핵 의심이 높지만, 스미어 검사에서 음성 판정을 받은 환자가 핵산 증폭 검사에서 양성이면 결핵으로 진단할 수 있지만 단순히 핵산 증폭 검사에서 음성 판정을 받았다고 하여 결핵을 배제할 수는 없답니다.
IGRA(Interferon-Gamma Release test)
최근 결핵균에 민감한 T세포만을 자극하는 특정 항원을 이용한 새로운 검사방법이 도입되고 있다고 하며, 효소연쇄면역흡착검사(ELISA)를 활용해 인터페론-감마 농도를 측정해 결핵 감염 여부를 판단하고 있어요. 과거 결핵 피부 반응 검사로 인한 허위 양성 문제를 보완한 검사로, 현재 국내에서 결핵균 감염 여부를 단독 및 단독으로 조사하는 데 널리 활용되고 있어요.
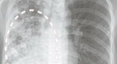
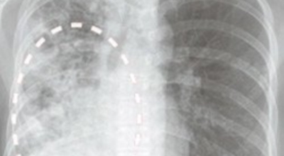
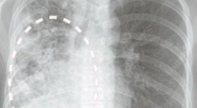
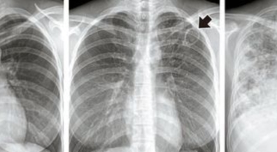
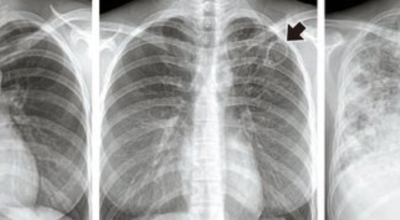
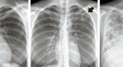
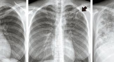
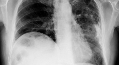
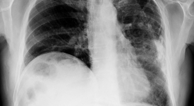
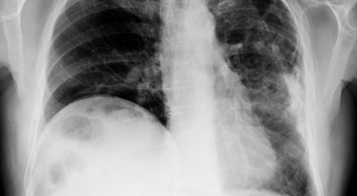
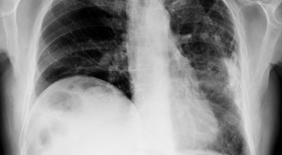
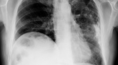
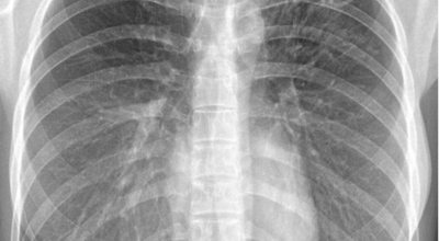
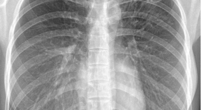
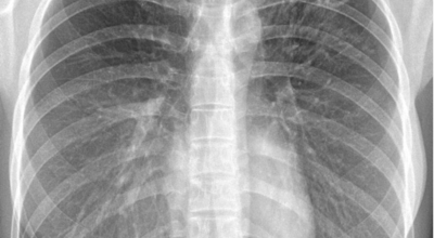
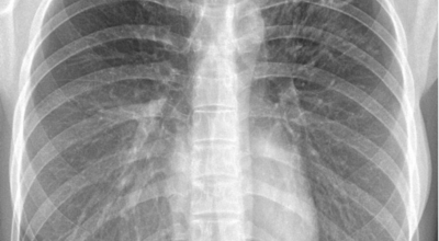
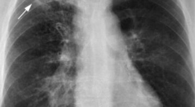
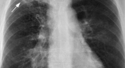
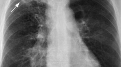
흉부 엑스레이
엑스레이 검사 방법으로는 실제 크기로 촬영하는 흉부 직접 촬영과 마이너스 70mm, 100mm 사진으로 촬영하는 간접 촬영이 있다고 하며, 일부 사람을 단체로 검사할 때 간접 촬영이 많이 활용돼요. 조사결과에 근거하면 결핵은 과감염성 결핵과 재활성성 결핵으로 구분되며, 기존 결핵은 소아결핵과 성인결핵으로 소속되는 경우가 많았어요. 인간면역결핍바이러스(HIV)에 감염된 사람들은 주로 과감염된 결핵을 보이 다고 알려져 있답니다.
결핵피부반응시험
결핵균의 감염여부를 조사하기 위해 왼팔 안쪽 피부에 결핵용액(RT-232 TU)을 주사한 후 주사부위의 피부조직 경화반응을 48~72시간으로 측정했어요. 이 때에 반응 부위가 10 mm 이상이면 양성으로 평가돼요. 국내에서는 BCG 백신 접종으로 인한 위양성(실제로는 음성이지만 양성) 문제로 결핵균 감염 해석에 사각지대가 있는 검사법입니다.
기관지 내시경 검사
기관지 결핵이 임상적으로 의심되거나 가래 검사에서 결핵균이 검출되지 않거나 악성 종양에 대한 차등 진단이 필요한 경우 기관지 내시경 검사를 받을 수 있답니다. 기관지 내 결핵의 경우 기관지 내시경 검사 결과를 보고 바로 의심할 수 있지만 결핵 확인은 항스미어 검사나 배양 검사, 핵산 증폭 검사 등을 통해 결핵 DNA를 검출하는 방법으로도 이뤄져요.



흉부 단층촬영(CT) 계산
임상적으로 의심스럽긴 하지만 흉부 X선만으로 결핵을 진단하기 어려울 때는 컴퓨터단층촬영(CT)이 유용해요. CT는 오래된 섬유화 병변과 새로운 활성화 병변을 구별하는 데 도움이 되고, 보통과 다르게 작은 기관지나 작은 기관지 주변의 병변은 결핵이 시작된다는 것을 특징으로 제시한다('나무 싹 패턴'). 그리고 CT는 충치진단, 흉곽림프절질환, 결핵(세균성 결핵이 전신에 퍼져 가지가지 장기에 염증을 유발한다), 기관지확장, 기관지협착, 흉막질환 등에 대한 민감도가 높아 결핵에 석회의 침전이 있는지 여부를 판단하는 데 아주 유용해요.
약물 민감도 또는 빠른 내성 테스트
국내 신규 결핵환자의 약 3%를 차지하는 다제내성 결핵을 진단하기 위하여는 국내 모든 결핵환자의 1차 배양균주에 대해 항결핵제에 대한 약물 민감도 검사를 실시해야 해요. 오늘날 재배군락을 이용하여 한천배지나 달걀배지를 접종하는 '비율법'은 이제까지 경제적으로 많은 사례가 있어 많은 나라에서 적용되고 있답니다. 항결핵제의 가장 흔한 부작용으로 말미암아 위장관 장애나 간독성이 나타날 수 있답니다. 세부적인 부작용은 활용하는 약제에 따라 다를 수 있습니다. 에탐부톨은 시야 장애를 일으킬 수 있어 안과 질환이 있는 경우 필수로 정기적으로 진료를 받아야 해요.
약물 복용 중에 시력이 감소하지 않는지 검사를 하고, 시야 가운데나 주변부가 보이지 않는 증상이 발생하면 즉시 주치의와의 상담이 필요해요. 피라지나마이드는 혈중의 요산 수치를 늘려 관절통을 발생시킵니다. 전신에 걸쳐 피부발진이 생기게 될 수도 있습니다. 리팜핀을 복용하다 보면 일시적으로 소변이나 눈물, 땀등의 체액을 붉게 만들 수 있으나 인체에 좋지 않은 것은 아니에요. 단, 콘택트렌즈를 착용한 경우 붉게 변한 눈물로 인해 렌즈가 착색될 수 있답니다. 약 복용 중 혈소판이 감소해서 멍이 쉽게 발생하거나 출혈이 나타날 수 있답니다. 출혈 위험은 치명적인 부적용에 속하기 때문에 즉시 항결핵제를 중단하고 주치의와 상담해야 해요.
오늘 포스팅에서는 결핵 증상에 대해한 정보를 전해드렸습니다. 참고하시고 꼭 기억하고 실천해 보시기 바랍니다.
전청조 성별 여자 진실, 사기 행각 총정리
흰대의 사기꾼에 도전하려고 하는것인지 도무지 알수없는 사기행각들을 벌이는 전청조에 대해서 한번 알아보려고 합니다. 연류된 사람들만해도 어마어마하고 피해금액도 큰규모라고 알려져
goodl.alluringbacked.com
공매도 금지 수혜주와 향후 전망
지금 우리나라 주식 시장이 큰 파도가 일어나고 있어요. 영원한 개미들의 공공의 적이었던 공매도가 드디어 공매도 금지 시행되었다고 하며 연일 주가상승이 이루어 지고 있어요. 어떤내용인지
goodl.alluringbacked.com
우울증 증상 초기에 치료해야 합니다.
이번에는 우울증 증상에 대한 포스팅입니다. 우울증은 초기가 중요하다고 합니다. 심각해지면 치료하기 너무 어려우니 꼭 자세히 보시기 바랍니다. 우울증이란 우울증이란 의욕 저하와 우울감
goodl.alluringbacked.com